مستشفى صدر المنيا.. تدخل جراحي عاجل ودقيق يُنقذ شاباً من كسور متعددة وخطيرة إثر حادث مروع
المنيا : حسن الجلاد
نجح الفريق الطبي بقسم العظام بمستشفى صدر المنيا في التعامل الفوري مع حالة طوارئ حرجة لشاب يبلغ من العمر 38 عاماً، إثر تعرضه لحادث سير على طريق الجيش. حيث تم إجراء تدخل جراحي عاجل لإصلاح كسور متعددة ومعقدة.
تحت رعاية أ.د. خالد عبدالغفار - وزير الصحة، واللواء الوزير عماد كدواني - محافظ المنيا،
وبمتابعة مستمرة من د. محمود عمر عبدالوهاب - وكيل وزارة الصحة بالمنيا، ود. مروة إسماعيل - وكيل المديرية،
وتحت إشراف د. أحمد منصور - مدير المستشفى
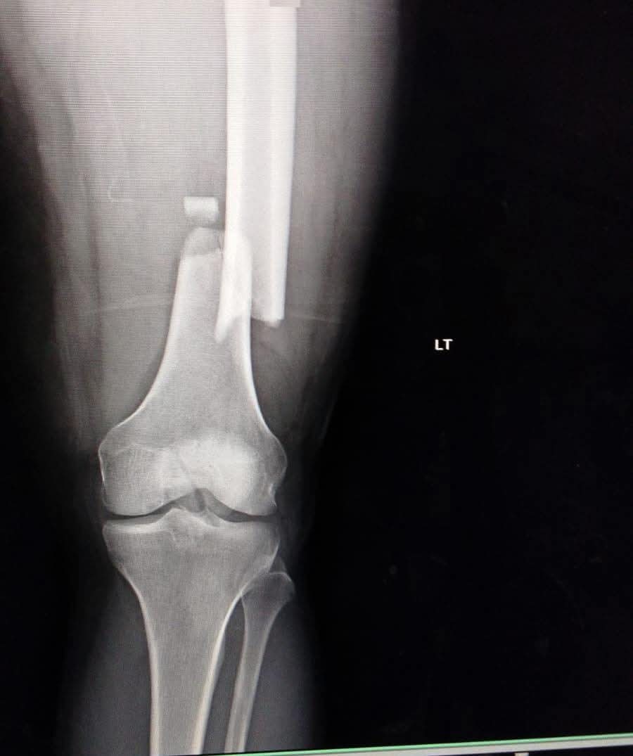
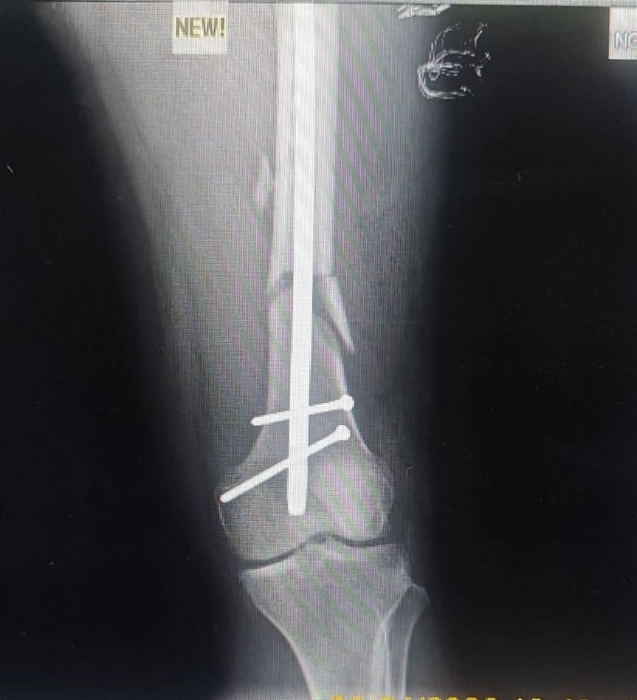
فقد استقبل قسم الطوارئ بالمستشفى المريض وهو يعاني من إصابات بالغة نتيجة الحادث. وبعد إجراء الفحوصات والأشعة الدقيقة، تبين وجود كسور متعددة شملت (عنق عظمة الفخذ، وعظمة الفخذ، وعظمة الرضفة "صابونة الركبة").
على الفور، وفي استجابة سريعة لإنقاذ المريض، قرر الفريق الطبي التدخل الجراحي من خلال خطة علاجية متقدمة شملت:
تثبيت كسر أعلى عظمة الفخذ باستخدام "مسمار نخاعي جاما" عالي الدقة.
تثبيت كسر أسفل عظمة الفخذ.
تثبيت عظمة الرضفة باستخدام مسمارين عبر فتحات جراحية صغيرة بالجلد (تدخل جراحي محدود)، مما يساهم بشكل كبير في تقليل الألم وتسريع فترة التعافي.
داخل غرفة العمليات، تكاتفت الجهود والخبرات لإتمام هذه الجراحات المعقدة بنجاح تام:
فريق جراحة العظام: د. محمود ممدوح (أخصائي العظام)، د. مصطفى أحمد ناجي (نائب العظام)
فريق التخدير: د. مروة فتحي (أخصائي التخدير)، د. طارق أشرف (نائب التخدير)
فريق التمريض بالعمليات : الأستاذ/ ناصف جمال
فني الأشعة: أ/ الشيماء أحمد
تكللت العمليات بنجاح، والمريض حالياً في حالة مستقرة ويخضع للمتابعة الطبية لاستكمال رحلة علاجه. وتؤكد إدارة مستشفى صدر المنيا حرصها الدائم على تقديم خدمة طبية متميزة، والتعامل مع كافة الحالات الحرجة وطوارئ الحوادث بأعلى مستويات الكفاءة لخدمة أهالينا في محافظة المنيا.
دقة الأداء وسرعة الاستجابة لخدمة أهالينا"






































